A bright, even smile can dramatically boost confidence and improve your overall appearance. Dental veneers are a popular cosmetic dentistry solution that can correct imperfections and provide a natural, lasting smile transformation.
This guide explains what veneers are, their benefits, the procedure, and why they might be the right choice for you.
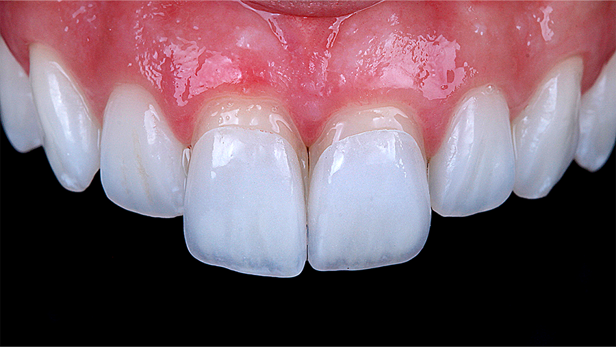
What Are Dental Veneers?
Dental veneers are thin, custom-made shells, typically crafted from porcelain or composite resin, that cover the front surface of teeth. They are designed to enhance the appearance of teeth by:
Correcting discoloration or staining
Closing gaps between teeth
Fixing minor chips or cracks
Improving the shape, size, or alignment of teeth
Porcelain veneers are particularly favored for their durability and natural appearance.
Benefits of Veneers
1. Improve Aesthetics
Veneers can transform a smile, making teeth appear whiter, straighter, and more uniform, enhancing overall facial aesthetics.
2. Long-Lasting Results
With proper care, porcelain veneers can last 10–15 years or more, making them a reliable long-term cosmetic solution.
3. Minimally Invasive Procedure
Only a small amount of enamel is removed to fit the veneer, preserving most of the natural tooth structure.
4. Stain Resistance
Porcelain veneers are highly resistant to staining from coffee, tea, or smoking, maintaining a bright smile over time.
5. Boost Confidence
Patients often report improved self-esteem and confidence after receiving veneers, feeling more comfortable smiling and socializing.
The Veneers Procedure
Consultation and Planning: Your dentist evaluates your teeth, discusses goals, and designs a treatment plan.
Preparation: A thin layer of enamel is removed from the front of the teeth to accommodate the veneers.
Impressions: Custom veneers are crafted in a dental laboratory.
Bonding: Veneers are carefully bonded to the teeth using strong dental cement.
Final Adjustments: Your dentist ensures a perfect fit, bite alignment, and natural appearance.
Who Is a Good Candidate for Veneers?
Ideal candidates are individuals who:
Have discolored, chipped, or misaligned teeth
Are seeking cosmetic improvements rather than restorative dental work
Maintain good oral hygiene and healthy gums
Want a long-lasting, natural-looking smile enhancement
A thorough dental examination is necessary to ensure veneers are suitable and durable.
Final Thoughts: Smile with Confidence
Dental veneers offer a versatile and effective way to enhance your smile, correct imperfections, and boost confidence. Whether it’s discoloration, gaps, or minor misalignments, veneers provide a long-lasting, aesthetically pleasing solution.
Enhance your smile today.
Call 9558 8988, email info@painfreedentistsydney.com.au, or book online to schedule a consultation and explore if veneers are the right choice for you.
