What Is a Composite Build-Up?
A composite build-up is a restorative dental procedure where tooth-colored resin is applied to damaged, worn, or uneven teeth. For TMJ patients, it restores proper bite alignment, improves chewing function, and can reduce jaw muscle strain caused by uneven teeth.
Patients in Sydney often seek composite build-ups when bruxism or TMJ dysfunction has worn down teeth, leading to pain and functional issues.
Why TMJ Patients Benefit from Composite Build-Ups
Bite Stabilization
Restores proper occlusion (how teeth meet)
Reduces overloading of jaw muscles
Can help relieve TMJ pain
Protection Against Further Damage
Worn teeth from clenching or grinding are reinforced
Prevents fractures, chips, and enamel loss
Improved Chewing Function
Restores proper tooth height
Enhances comfort during eating
Reduces jaw fatigue
Aesthetic Benefits
Composite is tooth-colored for a natural look
Can reshape worn or uneven teeth
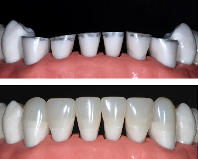
The Procedure
Assessment and Bite Analysis
Dentist evaluates TMJ function, bite alignment, and areas of tooth wear.
Tooth Preparation
Minimal tooth removal is performed
Teeth are cleaned and prepared for bonding
Composite Application
Tooth-colored resin is applied and sculpted to restore shape and height
Curing and Polishing
Resin is hardened with a curing light
Surface is polished for smoothness and natural appearance
Bite Adjustment
Final adjustments ensure proper occlusion
Reduces stress on jaw muscles and TMJ
Benefits of Composite Build-Ups for TMJ Patients
Non-invasive and conservative compared to crowns
Immediate improvement in bite and function
Can be combined with night guards, Botox, or PBM laser therapy
Helps prevent progression of TMJ-related dental issues
Maintenance Tips
Use a custom night guard if you grind or clench teeth
Practice good oral hygiene
Schedule regular dental check-ups
Follow up on TMJ therapy as recommended
Final Thoughts
Composite build-ups are a conservative, effective solution for TMJ patients experiencing tooth wear or bite issues. By restoring tooth structure, improving occlusion, and supporting jaw muscles, patients in Sydney can enjoy reduced pain, better function, and a natural smile.
